PERIODONTIA
Procedimentos e Tratamentos
DOENÇAS PERIODONTAIS
A doença periodontal é uma resposta do organismo às bactérias nocivas que se instalam nos dentes na forma de placa bacteriana. Embora as bactérias sejam a causa principal, outros fatores podem aumentar a gravidade do problema. Entre esses fatores estão o fumo, alterações hormonais em meninas ou mulheres, diabetes e medicamentos que causam boca seca, comprometendo a capacidade do organismo de combater as infecções. Como apontado pelo Instituto Nacional de Pesquisa Dental e Crânio facial dos Estados Unidos, a genética familiar pode tornar algumas pessoas mais propensas à doença periodontal severa.
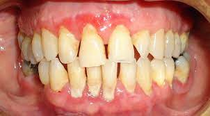
Primeiros sinais da gengivite
Embora o inchaço e o sangramento da gengiva sejam notados como os primeiros sinais da gengivite, existem outros sinais. Reconhecer e tratar os primeiros sinais da gengivite permite interromper a progressão dessa doença antes que ela afete o osso que envolve os dentes. Estes são os sinais e sintomas reversíveis da gengivite aos quais você deve estar atento:
- Gengiva vermelha ou inchada (a gengiva saudável é rosa e firme)
- Sangramento na gengiva ao escovar os dentes ou passar o fio dental
- Mau hálito
- Acúmulo excessivo de tártaro
- Dentes sensíveis
Tipos de doença periodontal
Existem diferentes formas de doença periodontal, mas as mais comuns são as seguintes:
- Gengivite crônica. Uma forma reversível e mais leve de doença periodontal, caracterizada por inflamação, vermelhidão e sangramento da gengiva. Não há perda óssea com a gengivite e, como já foi dito, ela é facilmente evitável!
- Periodontite agressiva. Perda rápida do ligamento periodontal e destruição óssea em um curto período de tempo.
- Periodontite crônica. A forma mais comum de periodontite. Progride lentamente.
- Doença periodontal necrosante. Infecção resultante da morte do tecido gengival que envolve os dentes e do osso de suporte. Os sintomas comuns são um odor desagradável e sangramento e dor na gengiva.
Tratamento não cirúrgico
A primeira etapa no tratamento da doença periodontal é uma abordagem não cirúrgica conservadora, chamada raspagem e alisamento radicular (RAR). O tratamento por meio da raspagem e remoção da placa bacteriana e do tártaro dos dentes e superfícies radiculares com instrumentos específicos para esse fim. Depois, o profissional faz a raspagem para alisar as áreas irregulares nas raízes para evitar que as bactérias voltem a se acumular facilmente. Às vezes, esse procedimento pode exigir mais de uma consulta. A administração de um anestésico local pode ajudar a evitar qualquer desconforto. Após esse processo, a gengiva cicatriza e se fixa novamente na superfície saudável e limpa dos dentes. Depois de algumas semanas faz uma avaliará a cicatrização e decidirá se é necessário um tratamento adicional.
Procedimento para redução da bolsa periodontal
Se você tem periodontite mais grave, provavelmente tem dúvidas sobre como restaurar a limpeza dos dentes e como reparar os dentes amolecidos pela doença periodontal. Se o tecido gengival não se aderir bem ao redor do dente depois da raspagem e do alisamento radicular, talvez não seja possível manter limpa a área profunda da bolsa periodontal. Isso significa que você é um candidato à redução da bolsa periodontal ou cirurgia a retalho. Ao dobrar o tecido gengival para trás precisa as remover bactérias infecciosas e alisar áreas danificadas do osso. Em seguida, o tecido gengival é reinserido no osso saudável.
Remoção de um abscesso periodontal
Um abscesso periodontal pode às vezes ocorrer devido à doença periodontal avançada. Esse abscesso manifesta-se como uma lesão vermelha e inchada na margem gengival. Se de repente você sentir uma dor aguda na gengiva, é melhor consultar um dentista rapidamente, pois quanto mais cedo um abcesso for tratado, melhor! O tratamento da infecção da gengiva nesse caso geralmente envolve a drenagem do abscesso e a limpeza profunda da área. Os antibióticos também podem ajudar a garantir a cura da infecção.
Pericoronarite
Algumas infecções gengivais podem ocorrer quando um dente (geralmente um dente do siso) tenta irromper, mas fica retido ou impactado. Um pequeno retalho de tecido gengival se forma sobre esse dente. Se houver acúmulo de alimentos nesse retalho da gengiva, as bactérias podem se proliferar, levando à infecção por pericoronarite. Normalmente, o dentista o instruirá a enxaguar a boca com água e sal para remover os alimentos ou detritos presos. Se as bactérias persistirem, poderá então prescrever um ciclo de antibióticos.







